详尽的胸部CT影像示意图
2026-03-19 20:44 来源:网络 点击:
详尽的胸部CT影像示意图
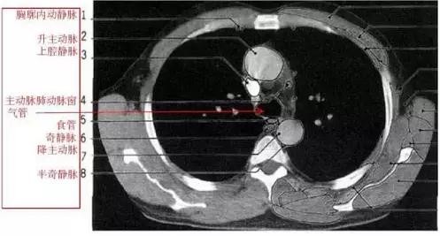
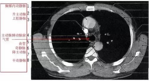
胸部的CT是通过X线计算机体层摄影(CT)对胸部进行检查的一种方法。正常胸部CT层面较多,每一层面结构所表现的图像不同。下面是胸部CT图文示意图,可帮助临床医生详细了解CT结构。我们一起来看一下吧。





















来源:影像论坛
【版权声明】本平台属公益学习平台,转载系出于传递更多学习信息之目的,且已标明作者和出处,如不希望被传播的老师可与我们联系删除
下载放射沙龙app,获取更多影像科学习资料,更多学习视频等着你哦
相关标签:
-
- 换异地工作,社保不转移,后果很严重
-
2026-03-19 20:42:18
-
- 古人为何把“房事”称为“云雨”这种保守的说法?
-
2026-03-19 20:40:03
-
- 春秋淹城遗址:生态画卷春色浓
-
2026-03-19 20:37:49
-
- 【山东春晚】冯巩惊艳登场,才艺连连,东子表演眼花缭乱!
-
2026-03-19 20:35:35
-
- 站撸怪物 《僵尸启示录:童子军手册》玩法休闲更考策略
-
2026-03-19 20:33:21
-
- 战事持续升级,以色列无奈承认:加沙冲突走向难以预测
-
2026-03-19 20:31:06
-
- 自驾游——徽州古城
-
2026-03-19 13:55:54
-
- 周星驰《功夫》里有句台词“还踢球?”,你知道原型来自哪里么?
-
2026-03-19 13:53:40
-
- 中建八局王牌公司总经理调整
-
2026-03-19 13:51:26
-
- 中国金字塔尖的企业-央企
-
2026-03-19 13:49:12
-
- 余霜与管泽元:电竞圈的浪漫爱情传奇
-
2026-03-19 13:46:57
-
- 有谁听过廖阅鹏的前世今生催眠曲,这里总结了下网友们的感受
-
2026-03-19 13:44:43
-
- 学车旺季来临,收好这份广州驾培服务质量榜单
-
2026-03-19 13:42:29
-
- 唐艺昕一吵架就喜爱提分手,张若昀说5个字“打发”她,百试百灵
-
2026-03-19 13:40:15
-
- 上海下雪了!今起江阴
-
2026-03-19 13:38:00
-
- 山东省社会稳定事件:妥善解决的关键
-
2026-03-19 13:35:46
-
- 壁纸|灌篮高手
-
2026-03-19 07:11:37
-
- “东方公主”号的烈火考验与涅槃期待
-
2026-03-19 07:09:22
-
- 苏州麦鲁小城周年庆典 暨暑期“麦鲁奥运——熊出没”活动开幕
-
2026-03-19 07:07:08
-
- 上门女婿是好还是坏?一个男人吐露了心声
-
2026-03-19 07:04:54



赵薇真实身份是日本人
男人喜欢亲你私下代表什么呢!
细讲男朋友是怎么做你的!
陈翔六点半球球被按在桌上的视频最突出的就是大胸
男生为什么会吃女生的小兔兔,小兔子被吃会觉得痛吗?