女子玩漂流颈椎骨折导致瘫痪
女子玩漂流颈椎骨折导致瘫痪
上周,50 岁的刘女士和亲友一起到富阳玩,坐皮划艇漂流时,突然发生意外。由于漂流时遇到高低落差,颠簸中刘女士颈椎受到冲撞挤压。
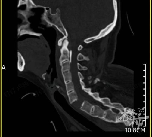
当时,刘女士就出现颈部疼痛、四肢无力的症状,紧接着发现自己全身不能活动。随后,她被紧急送往附近的医院救治,通过颈椎影像检查后发现,刘女士颈椎 6-7 节完全断离,颈椎骨折造成脊髓损伤,导致全身瘫痪。

(检查发现,刘女士的颈椎完全断离)
上周三,刘女士转到浙大二院手术。浙二骨科脊柱外科张宁主任医师介绍,刘女士本身有强直性脊柱炎的基础疾病,这是一种累及脊柱为主的慢性炎症性疾病,主要表现为脊椎及腰背部疼痛及僵硬。
" 强直性脊柱炎会导致脊柱的缓冲作用减弱,如果在漂流时经常出现旋转、急停、跌落、加速等动作,都容易导致人体受到损伤。严重者会骨折、颈椎损伤导致瘫痪等。"
目前,刘女士仍在 ICU 治疗,原本骨折断离的颈椎已经手术复位,但脊髓神经的损伤是不可逆的,接下来是否能恢复运动功能还很难说。
" 漂流是一项有一定危险性的运动,并不适合所有人群,例如有强直性脊柱炎、严重颈椎病、骨质疏松等的人群,并不适合参加漂流活动。"
张宁主任医师说,尤其近年来,颈椎病患病率明显上升。颈椎病中有一种叫 " 脊髓型颈椎病 " 的类型,是颈椎病中最严重、致残率最高的类型。这类患者在日常生活中一定要注意防护,如果发生迎面摔倒、追尾车祸或参加不恰当的极限运动时,就会容易引起脊髓损伤,重则导致瘫痪。
张宁主任医师说,暑假里,很多市民会陪同孩子出门旅游、玩耍,如果有强直性脊柱炎、颈椎病等,在出行时要特别注意以下两点:
1. 避免漂流、过山车、速降、汽艇、滑翔伞等娱乐活动
以上活动,在颠簸过程中颈椎会受到轻重不同的甩动,特别是中老年人由于长期的椎间盘退变已经压迫脊髓,即使平时没有颈椎病症状,参加以上活动也可能造成急性脊髓损伤。因此,提醒中老年人特别是颈椎不好的人群,不要参与这些高风险的运动。
2. 自驾游上高速,佩戴颈托
假期是家庭自驾游的高峰期,当高速公路上车流量大、路况复杂时,车辆常会突然出现刹车、减速,容易导致追尾,颈椎极度后仰或者屈曲,脊髓压迫瞬间加重,造成病情加重甚至瘫痪。必要时可以佩戴合适的颈托,为颈部提供保护和支撑,从而降低外力对颈部的冲击和伤害。
来源 : 橙柿互动 · 都市快报
-
- 世界上最可爱的狗排名,你家的狗上榜了吗(可爱来袭)
-
2025-10-17 04:40:13
-
- 利息低的贷款排名(上海个人最低贷款条件详情)
-
2025-10-17 04:37:58
-
- 喜欢跟爱的区别最简单的解释(喜欢和爱到底有什么区别)
-
2025-10-17 04:35:43
-
- 三部关于吸血鬼的恋爱漫画,浪漫的爱恋令人向往
-
2025-10-17 04:33:28
-
- 朋友推荐的珂语秋艳老师祛痘效果如何?一个月后我的皮肤是这样的
-
2025-10-17 02:34:09
-
- “小姑娘外表‘小公主’,碰上事却格外靠谱!”
-
2025-10-17 02:31:54
-
- 《陈翔六点半》名称有特殊含义,靠内容为王取胜,全网粉丝破亿
-
2025-10-17 02:29:39
-
- 狗身上跳蚤怎么彻底消灭,怎么去除跳蚤(狗身体上跳蚤用什么方法能清除)
-
2025-10-17 02:27:24
-
- 俄外长:俄中贸易结算已经几乎完全去美元化了
-
2025-10-17 02:25:09
-
- 被门夹过的核桃的还可以补脑吗?医学专家已经探索出答案
-
2025-10-17 02:22:54
-
- 有那么一点点动心(看了竟然有那么一点点心动)
-
2025-10-17 02:20:39
-
- 甜品店 4 个可颂卖 20 元,还没蓝牙耳机大!店员说……
-
2025-10-17 02:18:24
-
- 全球央行“淘金热”,比你看到的更加猛烈
-
2025-10-17 02:16:09
-
- 萧山一大妈烧到 40 ℃,吃药也没用!不是甲流,不是感冒,元凶竟是家中的……
-
2025-10-17 02:13:54
-
- 四川宜宾一官员醉心买彩票,9年花了1600余万
-
2025-10-17 00:14:35
-
- 河南一企业开除员工称“法律无所谓”,超威集团和劳动监察部门发声:不认可其
-
2025-10-17 00:12:20
-
- 合同最后1季,爆发砍12+8,和阿里纳斯对飚超远三分之人回归
-
2025-10-17 00:10:05
-
- 海啸真的那么可怕吗(海啸都有哪几种类型)
-
2025-10-17 00:07:50
-
- 从地球上层大气逸出并在月球上结合的氢和氧离子可能是已知月球水和冰的来源之
-
2025-10-17 00:05:35
-
- 以色列魏茨曼科学研究院研究人员揭示木星气旋的奥秘
-
2025-10-17 00:03:20



赵薇真实身份是日本人
男人喜欢亲你私下代表什么呢!
细讲男朋友是怎么做你的!
陈翔六点半球球被按在桌上的视频最突出的就是大胸
男生为什么会吃女生的小兔兔,小兔子被吃会觉得痛吗?
男朋友摸自己女朋友的肚子意味什么