日本人为什么早餐后才刷牙(日本人何故中午排队刷牙)
日本人为什么早餐后才刷牙(日本人何故中午排队刷牙)
在日期间,曾发现一件非常有意思的事——午餐结束后,卫生间里总会有很多日本员工并排刷牙,牙齿和牙刷摩擦的声浪此起彼伏,甚为壮观。自己也非常好奇,和日本朋友攀谈后得知,午后刷牙早已成为日本人的生活习惯之一。日本人不仅早晚要刷牙,午餐后也要刷,尤其是日本女性,午后刷牙已经成为她们化妆的组成部分,甚至在一些新开的百货公司,还会有专门的刷牙处。

日本人午饭后习惯刷牙
据了解,日本曾经有项调查显示,勤刷牙可有利于保持身材苗条。不知这个调查是否有十足的科学依据,但日本人普遍认为,作为下午继续上班的开始,刷牙的确是个不错的习惯,不仅可以防止蛀牙,让口腔保持清新,而且可以驱散午饭后的困顿,让头脑始终保持亢奋。因此,午后洗手间里的刷牙大军便成了日本一道独特的风景线。

很多日本白领,会习惯性地将牙膏、牙刷甚至口腔消毒剂作为手提包里的“标准配置”随身携带,这样即使在逛街时吃了洋葱大蒜等食品,也不用担心在半小时后会见客户或者男女朋友。
有趣的是,一些在日系公司工作的中国员工,受到周边日本同事的影响,也开始接受这一习惯。曾在某日本大手企业工作过的同学告诉我,因为周边的日本女同事午餐后都刷牙,自己不刷牙,在跟别人说话时总会自然而然地担心是否会有口腔异味,给别人“添麻烦”。不管怎么说,爱护牙齿终归是件好事,“把午后刷牙看成一种礼貌尊重他人,自己同时也保护了牙齿健康,可谓一举两得。”
当然,对于刷牙减肥这件事,我是根本不相信的。为此,还特意查阅了相关文献,发现日本东京慈惠大学的科学家曾经进行了一项关于肥胖的调按照医学标准,BMI超过25的人被定义为体重超重者。
咔!这里有一个知识点——BMI,想必平时经常混迹健身房的朋友们来说这个概念恐怕并不陌生,但是对于某些“柔软的胖纸”,平常不太爱动的同志们,我就要科普一波了。

控制BMI将拥有傲人身材
这个所谓的BMI指数,(即身体质量指数,简称体质指数,英文为Body Mass Index,简写为BMI),是用体重公斤数除以身高米数平方得出的数字【即BMI=体重(kg)÷身高^2(m)】。它也是目前国际上常用的衡量人体胖瘦程度以及是否健康的一个标准。主要用于统计用途,当我们需要比较及分析一个人的体重对于不同高度的人所带来的健康影响时,BMI值是一个中立而可靠的指标。

BMI指数标准表:最理想的体重指数是22,你在哪儿呢?
了解完BMI,咱们言归正传。是说该研究小组调查了近1.4万名平均年龄45岁的日本人,他们把身体质量指数(BMI)超过25的人和身材苗条者进行对比,对比内容包括他们的饮食习惯、睡眠、工作和锻炼情况。最终,调查小组发现,身材保持苗条的人倾向于每顿饭后刷牙,而超重者有时1天多都不刷牙。不过,研究人员说,这一调查结果并不意味着刷牙就等同于脂肪燃烧锻炼。但是长时间不刷牙的人,一般饮食和生活习惯都不健康,所以肥胖者几率很大。

每餐后刷牙是日本女性保持身材的秘诀
看到没有,日本学者说了:刷牙并不一定说能燃烧多少脂肪,起到减肥效果;但是,可以让人们更加关注自己的口腔健康,规范饮食,减少暴饮暴食的几率,从平时的一点一滴开始,养成健康的饮食习惯,从而间接达到减肥的效果。这是一种精神上的控制,其实减肥的难点也就是人们内心无法阻挡住美食的诱惑;若是通过刷牙,能够帮助人们从心里抵制一些食物的摄取,便起到了减肥效果。也就是我们在日常生活中经常发生的情景——男票:“宝贝儿吃点水果吧,来根香蕉~~吃根黄瓜也好呀,有助于健康~来,张嘴,啊~~~”“哎呀,不吃了,人家刚刷完牙了啦!你坏坏!”没错!这就是所谓的刷牙能够控制饮食的正确打开方式。我表示呵呵,对于在座的各位恐怕并没有什么卵用,面对美食的诱惑,一定是该吃吃,该喝喝吧。= =

来造作呀~牙齿健康QTM
咳咳~~有点跑题了,快回来!问题至此,我依旧不太甘心,一定要刨根问底,扒个明白。于是在下特意又到日本网站查阅了一下关于刷牙到底能不能减肥的问题,日本网友似乎给出了让我更加满意的答案。
在一篇名为《对于刷牙减肥能够成功的三大理由》的文章中提到了什么是刷牙减肥法,以及刷牙减肥法能够成立的三大理由。接下来我们给大家逐个解析一下:
日本网友总结出了刷牙减肥法的可行性,并总结出了以下三条:
方法非常简单,只要按照自己的生活作息养成一种好习惯,一定会收到理想的减肥效果,具体怎么做,这么做的道理何在,我们请继续看下文。
·刷牙减肥法成立的理由①:吃完零食还有刷牙,好麻烦!
我想大家恐怕都有睡前刷牙后不敢吃东西的心理活动,因为一方面对牙齿不好,另一方面,夜里吃完零食还要再刷一遍牙,好麻烦啊!没错!就是这种“好麻烦!”的心理,才是刷牙减肥法成功的一大要素。

刷完牙了,看到零食犯馋,但还是忍住吧!
我想这种刷牙减肥法可能对女生比较适用,平时总是怕自己长胖,但是又管不住自己的嘴,看到诱人的零食,心中的小恶魔总是能够轻松获胜。而每餐过后迅速刷牙,可以一定程度上防止除三餐外的下午茶,夜宵等不必要的热量摄入,通过“刷牙后吃东西有害牙齿的这种罪恶感”来约束自己的饮食,从而达到减肥的效果。
·理由②:牙粉可以使食欲消退
我想在国内,使用牙粉的人不是太多,除非对牙齿特别关注的人会了解到这种产品,一般大众可能并不会接触到这些产品,也不会想到去用。

牙粉可以一定程度上抑制食欲
日本人使用牙粉还是比较普遍的,除了和牙膏一样,具有防蛀牙,防牙周疾病的作用外,它还具有比牙膏更好的美白效果,关键还可以抑制食欲!据悉牙粉中含有少量可以抑制人食欲的氟化物,让人们在刷牙后的一段时间,不再对食物有欲望。
·理由③:刷牙时适当进行口部体操,可瘦脸

所谓减肥就是避免不必要的热量摄取以及一定程度上增加热量的消耗。想必各位上班族每天都是辛勤劳累,回到家很难坚持再去进行专门的运动了。而刷牙是我们每天都会进行的“运动”,日本网友总结了一套脸部保健操,每天刷牙的时候稍微注意一下,就可以轻轻松松做到瘦脸了。
·在刷槽牙时张大嘴巴
我们平时在刷到槽牙的时候,会不自觉的张开嘴,而这套方法建议我们尽量把嘴长大最大,同时瞪大眼睛保持5秒钟(此时千万不要照镜子= =),然后如此反复,左右两边都做,如此来,嘴和眼睛周围的肌肉都可以得到运动。
·刷其他牙齿时,念口诀
刷了槽牙我们也不能闲着,再刷其他牙齿的时候我们可以念口诀,说什么都可以,念拼音都可以“a o e i u v”,总之就是不要让嘴闲着,此方法也可以锻炼嘴部附近肌肉,一定程度上起到瘦脸减肥效果。
如果想进一步提升运动量,我们可以在刷牙时进行提踵运动,还可以顺便练练小腿,秀出性感的跟腱。以上就是日本网友分享的一些自己的刷牙减肥法心得,近期正在减肥的各位不妨一试。

除了日本人认为刷牙可以减肥外,英国国民医疗服务机构也有数据表明,人的精力水平约在下午2点16分降至最低。如果此时离开办公桌刷牙,会让你马上精神起来。此外,刷牙还会降低食欲,抑制吃零食的欲望。对于大部分人来说,上班刷牙很不方便,建议在办公室准备一套旅行装牙具。如果牙刷暴露在办公室里,容易沾染灰尘和病菌,旅行装牙具可以保证牙刷及牙杯洁净,但要注意,刷完牙后要将牙刷晾干后再收起来。如果条件不允许,可以备一瓶漱口水,既能保证口气清新,又能防止蛀牙。

看了以上这些,我们就不难理解,喜欢钻牛角尖的日本人为什么排队在公司卫生间刷牙了吧。为了牙齿健康,也为了减肥,我们何尝不能准备一套便携牙具在公司呢?不尝试一下怎么知道有没有效果呢?
·番外篇:疑问?为何日本女性龅牙率颇高?
1、文化差异

日系卡哇伊女生的小虎牙
在很多国家,牙齿不整齐是被视为的“缺点”的,所以会通过牙齿矫正来整好看。但是在日本,他们勇于把众人视为的“缺点”当作美,认为虎牙是可爱的象征,甚至有人会去做整形,把自己的整齐牙齿整成虎牙。日本的审美文化青睐长的精致,卡哇伊的女生(很少看到主流的日本明星走性感,妖艳路线的),这也是日本为什么“各种48”都纷纷走红,对于经常收听日本Oricon周榜的少年,我TM被整日刷榜的各种萌妹子女团气疯了= =,这简直是糟践艺术。讲真,还是咱们的韬奋男孩好一些,请给他们一丝关爱吧= =。龅牙给女性孩子气的感觉,很多日本男性女性都喜欢这种俏皮的感觉。
2、饮食习惯

以米饭,生鱼片,豆腐为主的日本料理
饮食是导致日本人牙齿难看的主要原因,他们的主要饮食是米饭、生鱼肉,豆腐等不需要用力咀嚼的食物,现在日本的食物也是朝着越来越软的方向发展,同样的面包,日本人做出来的就特别软。而中国人从小喜欢吃硬质的食物(比如啃骨头,我个人就特别喜欢吃鸡胗,脆骨什么的,翘起来嘎嘣儿脆的食物,所以长了一口人见人爱的大白牙,反正你也看不见~),来让牙床得到充分的挤压,从医学上来讲是一种良性刺激,日本人则因为咀嚼力度不够,牙床没有受到挤压,颚骨就开始逐渐萎缩,导致牙齿相当不整齐。
3、矫正费用高

高昂的矫正费用令日本人望而却步
日本的牙齿矫正费用是非常昂贵的,动辄需要10-20万日元,约合人民币6000-12000元;遇上较严重的情况,还需更贵,并且地区不同,差别也会很大。从50-60万日元,甚至100多万日元不等。对于普通民众来说,是个不小的数目。此外,矫正牙齿跟头骨也有关系,日本人大多上颚骨比较小,下颚平面较大,加上东方人的骨头又比西方人的硬,这些因素无形中加大了矫正牙齿的难度。所以这也是本就吝啬的日本人,不愿花这笔前去整牙的一大原因。

日本明星龅牙率非常高:AKB48板野友美
“日本人都是龅牙”已经成为世界人民的槽点了,我大天朝虽然牙齿患病率高于日本,但是我们长得齐呀!最后,我再稍微小科普一下,为了我天朝人民都能有一口健康洁白整齐的牙齿,这种问题要从娃娃抓起。前文已经提到,日本人龅牙率高的一个原因是食物太软,而我们饮食习惯则更偏向硬食,那么从小让宝宝接触硬食是否会对长出整齐牙齿起到决定性作用呢?我们来看看下文的一些科学调研吧。
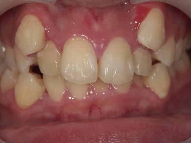
前文说道日本明星牙齿参差不齐,喜欢看日剧以及正经爱情动作片的朋友们都应该清楚,日系女生嘴巴没张开的时候,画风还是挺和谐的;可一旦张开嘴,牙齿坑坑洼洼地简直吓死了个爹!

AKB48大岛优子的小虎牙(过气明星来举例,争议小)
这些日本女星的牙齿,有些人会觉得很可爱。但再可爱,也算不上是一口整齐的牙齿。我们看到这些日本人的牙齿,不是龅牙就是“八重歯”。而所谓的“八重歯”,就是指“多层牙齿”或者“双层牙齿”,虎牙外露突出,牙齿重叠成几层,全部都挤在一起。

在日本经常见到的“八重齿”
在台湾卡提诺论坛上,就有针对日本人牙齿问题的相关解答,里面说到,日本人很少吃硬的食物,基本上是吃肉不啃骨头。同为黄种人,中国人就有吃肉啃骨头的习惯,红烧排骨、炖鸡、炖鸭子、猪蹄之类的典型中国菜,都需要啃骨头。从医学角度看来,中国人因为从孩童时期,就习惯啃骨头,可以使牙床受到强烈挤压,这种挤压对牙床来说,是一种良性刺激,能够迫使它充分张开,换牙以后就会长出新的牙齿来。

中国饮食习惯更倾向于硬食(就问你是不是看饿了)
最后,卡提诺论坛用日本大阪大学濑村教授的话形容:“中国人的牙齿,因为经常啃骨头,就像经过磨砺的刀,锋利而漂亮;日本人的牙齿,因为不啃骨头,所以就像锈在鞘里的刀,无论质地好坏都无法发挥作用。”
·多吃硬食对牙齿发育有什么好处? 对于这个问题,《每日邮报》援引了北卡罗来纳大学的论文《人类下颚和牙齿的进化:牙医学和牙齿矫正学的内在逻辑》(Evolution Of Human Teeth And Jaws: Implications For Dentistry And Orthodontics)的内容得出结论:

“牙齿不好?不要再吃现成的食物,像穴居人一样咀嚼!”
文中说道,远古人类因为长期吃硬食,通过不断的咀嚼锻炼了下颚和牙齿,那时候的人类牙齿和下颚的大小正好是匹配的,而我们现代人,食物做得精细,缺少锻炼,牙齿反倒越来越难看。

玩儿炉石的朋友一定知道这款穴居人,不过我看这牙也没齐到哪儿去= =
由此说明,多吃硬食有益于牙齿的发育整齐。但在我们身边,不少父母还坚信着一种观念:小孩牙齿没有发育完整,不能吃硬的食物。
而现在的孩子多是娇生惯养,有些妈妈,生怕宝宝被硬的食物磕到,总是把食物弄得很精细。有些宝宝,一岁多了,还在吃搅拌成蓉状的肉泥、蒸熟到烂的瓜果泥、熬得看不见米粒的绵绸白粥等等。单纯进食液体食物或过于柔软的食物,对于孩子咀嚼功能的完善和发育是有妨碍的。

过分依赖软食,对宝宝并不是好事
有专家称:“有些孩子乳牙脱落过晚,原因之一是孩子吃的食物过于精细,没有充分发挥牙齿的生理性功能。因为牙齿的主要功能是咀嚼食物,只有咀嚼食物才能促进乳牙牙根的生长发育及其自然吸收、脱落。”
·吃硬食对宝宝有什么好处?
临床上碰到不少出现“八重齿”的孩子,一般认为是进食过于精细的原因。双层牙就是换牙期时恒牙已萌出,乳牙却常常不肯“让位”,恒牙就不得不从舌侧或者唇侧挤出。所以,给孩子适当吃硬食是很有必要的,尤其是替牙期,硬食可帮助诱导牙颌向正常方向生长发育。

宝宝换牙期
换牙前:经常吃一些硬食,保持对乳牙的良好的刺激作用,促使乳牙按时脱落。
换牙时:在乳牙松动时,可以多吃硬食硌掉乳牙,避免引起乳牙滞留、迟脱,甚至产生“双层牙”。
换牙后:新的牙齿萌发后,多咀嚼硬食充分锻炼口腔肌肉功能,帮助宝宝长成一口好牙。
·宝宝什么时候适合吃硬食?

在适当的时期给宝宝吃相应的硬食
总的来说,就是要根据宝宝的月龄,适时添加不同食物,在充分照顾到营养平衡的同时,配合宝宝的吃饭技能和胃口,慢慢变化食物的质地和数量,增加宝宝吃东西咀嚼的机会。多考虑食物的硬度、柔韧度和松脆性,用于给宝宝口腔肌肉提供不同的刺激,使其得到充分的发育,让宝宝长出一口漂亮整齐的好牙。天朝人民的整齐大白牙,一定要从娃娃抓起!
另外,奉劝各位妈妈和准妈妈们,一味地“娇生惯养”对孩子并无好处,不仅是在牙齿生长上,更是在道德修养和三观的培育上。记得前几天看到一篇名为《“名校生被父母强制变神经病”是怎么诞生的》的文章,文中提到豆瓣上一个“父母皆祸害”的小组,粉丝多达12万人,组内充斥着对父母的不满,甚至纷纷要杀掉自己的亲生爸妈。

小组会员们对父母的憎恶令人咋舌
这不禁引人深思,在唏嘘90后,00后,甚至10后的这些令人瞠目结舌的做法背后,我们大人是否应该反思?是不是一味的娇生惯养酿成的大祸?我暂且把这个问题抛给网友,在中国复杂的历史和社会背景下,妄下结论是不负责任的,也欢迎大家在评论区发表自己的看法,一起讨论。

不好意思,从给孩子吃软食有害牙齿健康这件事儿联想到这里,不禁有些跑题。写到这里的本意是希望大人可以客观,理智,正确地培养宝宝,而不是一厢情愿地将自己的意愿强加于孩子。就好比吃硬食,让孩子得到一些外部的“良性刺激”反而会对牙齿生长起到好的效果;若是举一反三的话,我们家长是不是应该在好多问题上要自我反思呢?
从日本人中午排队刷牙,扯到孩子教育,也是想到什么就写了什么,对于自己的神逻辑深表歉意,特此感谢有耐心看到最后的朋友。咱们下回见。
,
-
- 所谓的芯片到底是什么(终于有人讲透了)
-
2025-11-18 03:19:00
-
- 九个技巧写好钢笔字(教你三招写好钢笔字)
-
2025-11-18 03:16:45
-
- 最全济宁方言大全
-
2025-11-18 03:14:30
-
- 马到成功浓香型白酒价格表(马到成功造型白酒)
-
2025-11-16 16:51:24
-
- 怎么炒地瓜好吃,红薯怎么炒 炒红薯的做法窍门
-
2025-11-16 16:49:09
-
- 妻子用六年时间,蓄谋一场“离婚策划”:太懂事的女人,早心寒了
-
2025-11-16 16:46:54
-
- 离婚到底该不该要孩子(离婚女人不要孩子会不会后悔)
-
2025-11-16 16:44:40
-
- 男人开始把你当“媳妇”的方式:冷你
-
2025-11-16 16:42:25
-
- 西安男子家暴妻子事件:女人不明白这道理,家暴就会有无数次
-
2025-11-16 16:40:10
-
- 男人步入中年后,需要的不是较真,而是做到这一点
-
2025-11-16 16:37:55
-
- 井盖为什么是圆的,井盖为什么是圆形
-
2025-11-16 16:35:40
-
- 女人真正吸引男人的地方,从来都不是好看的皮囊,而是有趣的灵魂
-
2025-11-16 16:33:25
-
- 男生哭怎么安慰他 怎么看男人是否付出了真心
-
2025-11-16 16:31:10
-
- 月迹教学设计一等奖部编版(部编版语文月迹教案教学设计)
-
2025-11-16 16:28:55
-
- 给男人一个建议:撩女人,重在“撩心”
-
2025-11-16 16:26:40
-
- 臭虫怕什么植物一家有臭虫养什么花好,臭虫怕什么
-
2025-11-16 16:24:26
-
- 出轨了很内疚应该怎么办
-
2025-11-16 16:22:11
-
- 我爱你韩文怎么写?我爱你韩文怎么写loveyou
-
2025-11-16 16:19:56
-
- 青藏高原海拔高对动植物的影响,为什么青藏高原不长树木
-
2025-11-16 16:17:41
-
- 女孩子不理我怎么办
-
2025-11-16 16:15:26



中国十大黑恶县城(中国十大黑恶县城有哪些)
【石井四郎的女儿还在吗】石井四郎女儿石井春海怎么死的?
元世祖忽必烈,一个在中国历史上留下了深刻印象的人物
世界上最贵的香烟,好彩香烟(60万一盒)
中国最严格的监狱(中国最严监狱排名)
中国最穷的十大城市,排名第一的是贵阳
中国“素质最差”三个省排行,国内“素质最差”省有哪些
中国十大超穷省会城市排行榜 贵阳第一
十大抗日小说排行榜 让你热血澎湃的经典之作
中国最狠十大监狱(女子监狱怎么解决需要)